Dr. Mostafa Mosafer
Facharzt für Orthopädie und Unfallchirurgie
Unter der Diagnose einer Skoliose versteht man eine dreidimensionale Verkrümmung der Wirbelsäule. Sie führt zu einer mehr oder weniger deutlich sichtbaren Fehlhaltung. Bei der Skoliose zeigt die Wirbelsäule eine seitliche Verdrehung (Rotation). Zudem sind die Wirbelkörper verformt. Gelegentlich sind die Wirbelkörper nur unvollständig angelegt oder mit anderen Wirbelkörpern verwachsen. Typisch Symptom ist unter anderen auch ein Rippenbuckel oder Lendenwulst.
Die Skoliosen werden nach ihrer Ursache unterteilt in primäre Skoliosen und sekundäre Skoliosen.
Primäre oder Idiopathische Skoliosen sind Krümmungen der Wirbelsäule, welche ohne eine zugrunde liegende Grunderkrankung als Ursache auftreten, sogenannte idiopathische Skoliosen.
Ferner werden die Skoliosen nach dem Alter der Patientin beziehungsweise des Patienten unabhängig von der Grundursache der Skoliose unterteilt:
Die häufigste Erscheinungsform ist die Gruppe der idiopathischen Skoliosen und hierbei wiederum die adoleszenten Skoliosen, welche oft erst im präpubertären Wachstumsschub diagnostiziert und behandelt werden. Sie können einbogig, doppelbogig oder s-förmig sein. Eine Einteilung findet nach der heute verbreiteten Klassifikation von Lawrence Lenke statt.
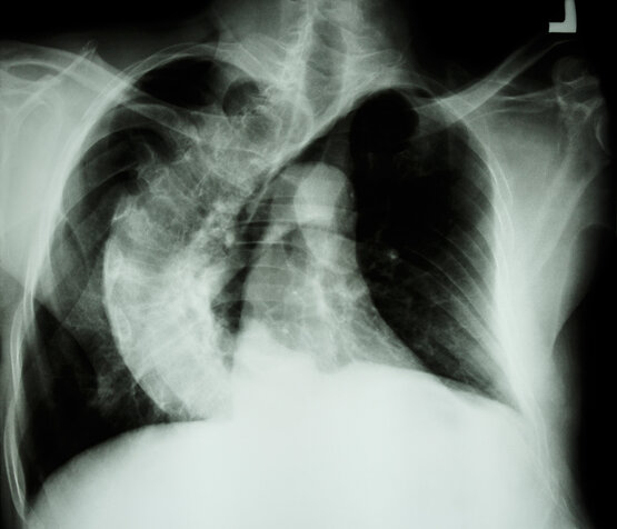
Der Schweregrad der Fehlstellung wird dabei anhand eines Röntgenbildes in Abhängigkeit des gemessenen Cobb-Winkels und der Seitabweichung der Wirbelsäule zum Beckenzentrum (Lotdeviation) beurteilt.
Die Behandlung der idiopathischen Skoliose nach Feststellung der Diagnose, richtet sich dabei nach dem noch zu erwartenden Längenwachstum der Wirbelsäule, welches sich auch mithilfe von Röntgenaufnahmen des Beckenkamms oder der Handwurzelknochen prognostizieren lässt (Risser-Stadium, Sanders-Stadium).
Eine Verkrümmung der Wirbelsäule von 10 bis 20 Grad gilt hierbei als leichte, jedoch kontrollbedürftige Skoliose, die eine Behandlung durch Krankengymnastik nach der Katharina-Schroth-Methode erfordert. Durch diese Therapie wird die tiefe Muskulatur der Wirbelsäule stabilisiert und eine Korrektur erreicht.
Schwere Verkrümmungen der Wirbelsäule > 20 Grad mit einem noch zu erwartenden Längenwachstum der Patientin/des Patienten werden zusätzliche zur Krankengymnastik mit einem Chêneau-Korsett behandelt.
Bei starken Krümmungen jenseits der 40 bis 45 Grad Verkrümmung im Brustwirbelsäulenbereich und > 35 Grad im Lendenwirbelsäulenbereich wird ein operatives Vorgehen empfohlen, um frühzeitig Folgeschäden in jungen und mittleren Jahren, geprägt von schmerzhaften Arthrosen, Bandscheibenschäden und Osteochondrosen, zu begegnen.
Das Auftreten einer Skoliose im frühen Kleinkindalter kann die Entwicklung der inneren Organe, vor allem die Lungen, negativ beeinflussen, sodass wachstumslenkende Eingriffe (zum Beispiel mit einem Magnetstabsystem MAGEC Rod) erforderlich sein können.
Verkrümmungen der Wirbelsäule über 80 Grad gehen mit einer erhöhten Krankheitsanfälligkeit und Sterblichkeit einher.
Die sekundäre Skoliosen und hierbei die bei uns häufig behandelten neuromuskulären Skoliosen zeichnen sich durch andere Symptome und eine andere Dynamik aus und unterliegen daher auch einer angepassten Betrachtungsweise.
Das Therapieziel ist dabei in Abhängigkeit der Ursache und Ausprägung der Erkrankung (z.B. gehfähig oder rollstuhlpflichtig), die eine Verdrehung und Verkrümmung der Wirbelkörper mitverursachen z.B. Cerebralparese oder Spastik, individuell zu definieren. Diese Skolioseformen zeigen häufig auch eine langbogige c-förmige Krümmung der Wirbelsäule im Röntgenbild und ziehen in die Lendenwirbelsäule und ins Becken hinein.
In den meisten Fällen wird die Diagnose bei Geburt oder kurz danach gestellt und das Risiko für das Auftreten einer Wirbelsäulenverkrümmung besprochen. Die initiale Therapie richtet sich dabei nach der zugrundeliegenden Ursache der Erkrankung z.B. „Muskelspannungsmindernde Therapien“. Zusätzlich werden frühzeitig konservative Therapien mit z.B. einer adäquaten Sitzschalenversorgung, Physiotherapie und Korsetttherapie eingeleitet.
Falls diese Therapien jedoch scheitern und sich Krümmungen der Wirbelsäule verstärken, die in der Folge durch zunehmende Rumpfinstabilität, die Sitzfähigkeit, Pflegemöglichkeit und die Transferfähigkeit der Patienten einschränken und Schmerzen verursachen können, erfolgt ein Strategiewechsel hin zur Operation.
Ein Cobb Winkel >20 Grad, trotz konservativer Therapie, stellt dabei den Zeitpunkt dar bei dem das Fortschreiten der Verkrümmung der Wirbelsäule hin zu einer schweren Form der Skoliose sehr wahrscheinlich ist, besonders bei noch zu erwartendem weiteren Wachstum. Die Therapieoptionen werden wiederholt in einer interdisziplinären Konferenz mit Kinderorthopäden, Neuropädiatern und Wirbelsäulenchirurgen diskutiert und mit den Eltern ausführlich besprochen.
Unter Kyphosen versteht man die Abweichung der Wirbelsäule nach hinten im seitlichen Profil unter Ausbildung eines Rundrückens bis hin zu einem Gibbus.
Neben der altersbedingten Zunahme der Krümmung im Bereich der Brustwirbelsäule gibt es auch Erkrankungen der jugendlichen Heranwachsenden, wie den Morbus Scheuermann.
Die davon Betroffenen haben durch Ausbildung von keilförmigen Wirbeln während des Längenwachstums eine oft schmerzhafte und sehr früh wackelsteife Verkrümmung der Wirbelsäule. Der Schweregrad der Verkrümmung kann auch hier im Röntgenbild nach dem seitlichen Cobb-Winkel oder dem Stagnara-Winkel gemessen und beurteilt werden.
Analog zur Behandlung der schweren Skoliosen erfolgt die Behandlung zunächst konservativ mittels Krankengymnastik und Korsett, und nur bei fortschreitender Krümmung der Wirbelsäule, besteht dann die Indikation zur operativen Korrektur.
In Abhängigkeit vom Schweregrad Ihrer Skoliose oder Kyphose stehen hochmoderne konservative Behandlungsmethoden mit technischen Innovationen zur Verfügung:
Wir arbeiten dabei im engen Austausch mit der Orthopädietechnik und der Physiotherapie zusammen.
Von der Abmessung des Skoliose-Korsetts zur kontinuierlichen Skoliose- und Kyphose-Behandlung bis zur abschließenden Kontrolle nach Wachstumsabschluss der Patientin oder des Patienten sowie Verordnung von Schroth-Therapie und Beantragung einer Rehamaßnahme erfolgen ambulante 6-monatige Kontrolluntersuchungen bei uns.
Sollte die konservative Skoliose-Therapie trotz Skoliose-Korsett und Schroth-Therapie im Endergebnis eine Operation nicht verhindern können, so kann sie in den meisten Fällen das Ausmaß begrenzen und somit die Voraussetzung für ein überdurchschnittlich gutes Operationsergebnis schaffen.
In der Schön Klinik Vogtareuth stehen uns dabei die modernsten Implantate zur Verfügung, um zeitgemäße OP-Techniken anwenden zu können. Unsere Nachbehandlung erfolgt in der Regel korsettfrei.
In unserem Konzept zur Skoliose-Behandlung erfolgt die präoperative Vorbereitung bei komplexen Fällen auch stationär, um ein hohes Maß an Sicherheit bei der Befunderhebung und präoperativen Vorbereitung zu gewinnen.
Wir behandeln unsere Patientinnen und Patienten umfassend nach, bis sie und ihre Angehörigen die notwendige Sicherheit gewonnen haben, ins häusliche Umfeld zurückzukehren. Die erforderliche Rehabilitation wird unmittelbar nach Skoliose-OP in unserem Hause durchgeführt. Im Bedarfsfall unterstützen wir auch eine heimatnahe Rehabilitation durch Beantragung und Organisation.
Ferner unterstützen wir bei der Anpassung der Hilfsmittel (zum Beispiel Rollstuhl, Rollator) sowie bei der Beantragung und Verordnung aller erforderlichen Heilmittel (Reha, Physiotherapie).
Regelmäßige Kontrolluntersuchungen nach drei, sechs, zwölf und vierundzwanzig Monaten nach Skoliose-OP sind für uns selbstverständlicher Teil einer umfassenden Behandlung.
Durch eine hauseigene Abteilung für Elektrophysiologie können wir die Sicherheit während der Skoliose-OP mittels Neuromonitoring zur Überwachung der Rückenmarks- und Nervenfunktion deutlich erhöhen.
Die bewährte Form der wachstumslenkenden Skoliose-OP mittels Implantation eines Magnetstabsystems(MAGEC Rod) oder klassischen Systems (Growing Rod) wird in unserem Hause seit Jahrzehnten durchgeführt.
Nahe an der wissenschaftlichen Entwicklung bieten wir bei geeigneten Fällen auch eine nicht versteifende Skoliose-OP in unserem Hause durch ein Kunststoffbandsystem (Tethering) bei ausgewählten Patientinnen und Patienten an.
